
Women’s Heart Health and the Impact of Sedentary Lifestyles
September 10, 2025
Pain Management Approaches for Elderly Patients
September 11, 2025Sleep disorders impact millions globally, often leaving patients and families searching for answers. When sleep issues involve the brain, neuroradiology offers valuable insights through advanced imaging techniques. This specialized field enables the diagnosis and treatment of brain-related sleep disorders more effectively. Understanding these tools can provide reassurance and clarity during the diagnostic process.
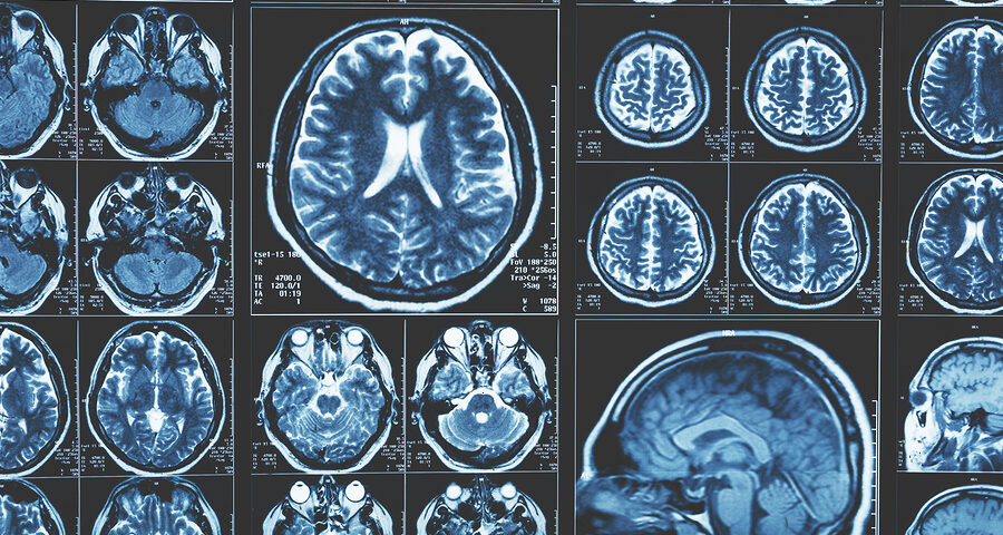
What Is Neuroradiology?
The field of Neuroradiology is the study of the brain, spine, and nervous system through advanced imaging technology. Specialists in this field analyze scans to identify structural changes, abnormalities, or patterns that help explain neurological symptoms. This expertise plays a role in diagnosing and understanding various neurological conditions. By using precise imaging techniques, neuroradiologists provide insights that guide treatment decisions.
When it comes to sleep-related brain disorders, neuroradiology helps uncover how brain structure and function might contribute to sleep problems. Imaging studies can detect issues that other tests might overlook, offering a clearer understanding of the underlying causes. Different imaging methods are used, each providing a unique perspective on brain health. Your doctor will select the most suitable approach based on your symptoms and medical history.
What are Common Imaging Techniques?
Neuroradiology utilizes various imaging techniques to examine the brain and spinal cord for underlying causes of sleep disorders. Each method offers unique insights into the structures and functions that impact sleep. Here are some of the most common imaging techniques used:
- Magnetic Resonance Imaging (MRI) is used to assess brain structure in sleep disorders by producing detailed images to detect issues like tumors or abnormalities in sleep-regulating regions.
- Computed Tomography (CT) provides fast imaging to identify acute conditions like bleeding or swelling that might interfere with sleep.
- Cerebral Angiography examines blood vessels in the brain to detect vascular issues like aneurysms or narrowed arteries that could impact sleep.
- Myelography uses contrast dye and imaging to identify spinal or nerve issues that may disrupt sleep.
By combining these advanced imaging techniques, healthcare providers can gain a comprehensive understanding of both structural and functional factors affecting sleep, leading to more accurate diagnoses and effective treatments.
What are Sleep Disorders?
Neuroradiology examines brain regions that are key for sleep, like the hypothalamus, which houses the body’s master clock and regulates circadian rhythms. Imaging this area can identify issues disrupting natural sleep-wake patterns. The brainstem, controlling basic sleep functions and breathing, is also carefully examined for structural or functional changes that could explain sleep-related breathing disorders.
The thalamus, a relay center for sleep signals, is imaged to understand signal transmission and processing, as problems here can impact sleep quality and timing. Nuroradiology identifies changes in cortical regions that influence overall sleep quality, helping to diagnose conditions like insomnia or excessive daytime sleepiness. These detailed insights enable more accurate diagnoses and effective treatment plans for various sleep disorders.
Support Better Sleep Health
Neuroradiology offers insights into sleep-related brain disorders by providing detailed images of brain structure and function. These advanced techniques help doctors diagnose conditions accurately and create effective treatment plans. If you’re dealing with sleep issues linked to brain function, discussing neuroradiology with your healthcare provider could uncover the answers you need and guide you toward better sleep. Seeking proper evaluation is the first step to understanding and managing these conditions.




